For your smile

スペース

クリニックの案内

コンセプト

治療内容

診療時間・休診日・連絡先

診療時間8:00〜18:00 休診日 日曜日・祝日 連絡先 ほうとく歯科 〒321-4305 栃木県真岡市荒町2079-3 TEL:0285-83-5226

クラウン-ブリッジ

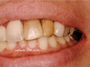
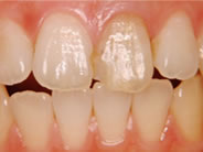
クラウン-ブリッジT40代女性

左上顎にポーセレンを入れました。
美しい口元になりました。ポーセレンの歯は変色しないのでいつまでもきれいです。

クラウンブリッジ1写真1

施術前

矢印

クラウンブリッジ1写真2

施術後

クラウン-ブリッジU20代女性

口元を気にしないで笑うことができます。

クラウンブリッジ2写真1

入れる前

クラウンブリッジ2写真2

入れた後

クラウンブリッジ2写真3

入れた後の口元

クラウン-ブリッジV

較べて下さい。これだけの差があります。

クラウンブリッジ3写真1

クラウン-ブリッジW

クラウンブリッジ4写真1

クラウン-ブリッジX
クラウンブリッジ5写真1

自分の歯と間違うほどきれいに出来ます。