

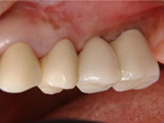
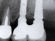
7年前に右下顎にインプラントを入れました。
入れ歯に較べて、人生が変わるほど何でも食べられる、と喜んでいただいています。
X線的にも何の問題も無く経過しており、平気で10年持ちそうです。

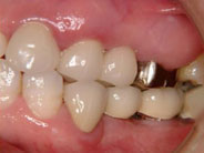
左上顎に骨を作って(上顎洞底挙上術)インプラントを入れました。
入れ歯の必要がなくなりました。


インプラントを入れることによって、自分の隣の歯を削る必要がなくなります。
Bridgeを入れるよりも良い方法です。
5年以上経過しています。
骨の吸収も全くありません。
インプラントで後方の歯が助かりました。





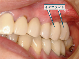
右下顎にインプラントを入れました。
入れ歯の必要がなくなりました。8年経過しています。
人生が変わるほどよく咬めるようになりました。
8年間全く異常を認めません。

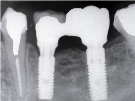
左上顎に新しい骨を作って(上顎洞底挙上術)インプラントを入れました。
骨のない部分に骨を新しく作ることができます。


歯を抜いて同時にインプラントを入れました。
