For your smile

スペース

クリニックの案内

コンセプト

治療内容

診療時間・休診日・連絡先

診療時間8:00〜18:00 休診日 日曜日・祝日 連絡先 ほうとく歯科 〒321-4305 栃木県真岡市荒町2079-3 TEL:0285-83-5226

審美

審美治療例
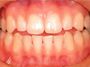
審美T

歯の着色もきれいになります。

審美1写真1

施術前

矢印

クラウンブリッジ1写真2

施術後

審美U

白色ハイブリットセラミックを入れることで自然の美しさが甦ります。

審美2写真1

施術前

矢印

クラウンブリッジ1写真2

施術後