For your smile

スペース

クリニックの案内

コンセプト

治療内容

診療時間・休診日・連絡先

診療時間8:00〜18:00 休診日 日曜日・祝日 連絡先 ほうとく歯科 〒321-4305 栃木県真岡市荒町2079-3 TEL:0285-83-5226

矯正歯科

矯正歯科治療例
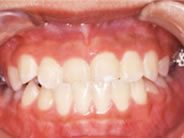
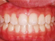
矯正歯科T10代女性

治療期間は1年10ヶ月です。

矯正歯科1写真1

施術前

矢印

矯正歯科1写真2

施術後

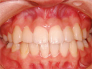
矯正歯科U10代女性

治療期間は1年9ヶ月です。
どんなに難しい症例でも、2年以内に治すようにしています。

矯正歯科2写真1

施術前

矢印

矯正歯科2写真2

施術後

矯正歯科V10代男性

治療期間はわずか1年です。

矯正歯科3写真1

施術前

矢印

矯正歯科3写真2

施術後

矯正歯科W16歳女性

治療期間は1年8ヶ月です。

矯正歯科4写真1

施術前

矢印

矯正歯科4写真2

施術後

矯正歯科X17歳女性

かなり突出した歯でしたが、美しい歯並びになりました。
治療期間は1年3ヶ月です。

矯正歯科5写真1 矯正歯科5写真2

施術前

矢印

矯正歯科5写真3

施術後